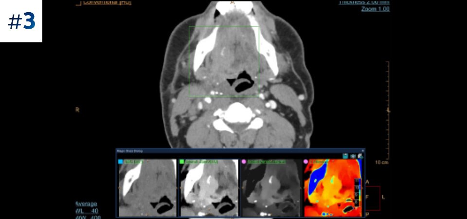
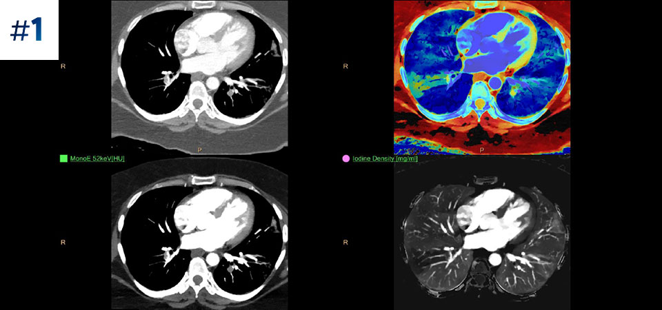
Skip to main content




















Detector-based spectral CT technology - Philips